歯の検診は2~4ヶ月に1度ご来院いただき歯のクリーニングを行い、また、患者様に合ったブラッシング方法の指導も行います。定期的に通っていただくことでむし歯や歯周病の進行を予防することができます。
津田沼・新津田沼にお住まいの方で、定期的に歯医者に通いたい方にも便利です。JR津田沼駅・新津田沼駅から徒歩圏内で、習志野市や船橋市からもアクセスしやすい立地です。
お口のメンテナンス~予防のエキスパートによる徹底したケア~

歯の検診は2~4ヶ月に1度ご来院いただき歯のクリーニングを行い、また、患者様に合ったブラッシング方法の指導も行います。定期的に通っていただくことでむし歯や歯周病の進行を予防することができます。
津田沼・新津田沼にお住まいの方で、定期的に歯医者に通いたい方にも便利です。JR津田沼駅・新津田沼駅から徒歩圏内で、習志野市や船橋市からもアクセスしやすい立地です。

予防歯科とは、子ども~高齢の方まで歯の健康な状態を保ち、お口の中の状況が悪くならないようにむし歯や歯周病を未然に防ぐために行う処置です。
当院では、治療後のメンテナンス、定期歯科検診はもちろん、ブラッシング指導、歯のクリーニング(PMTC)、フッ素塗布などを通じて予防歯科診療を行っています。
津田沼で予防歯科を探している方、初めて定期的なメンテナンスを受ける方も安心して通院いただけます。
歯は一度失ってしまうと、二度と健康な歯は帰ってきません。一生の大切な財産といえるので、予防歯科を強化しています。患者様の歯を1本でも多く残すことができるよう予防歯科診療を行います。
医師が推奨する健康寿命を伸ばす方法の5つのうち、2つは歯科医院の領域とのことです。ぜひご覧ください。
当院では、患者様が安心してお食事ができるように、予防歯科に特に力を入れています。ぜひお気軽にご来院ください。

予防の基本は患者様が普段行う歯磨きなどのセルフケアですが、歯磨きだけでは完全な予防は出来ません。歯磨きでは除去が不可能な歯石やバイオフィルム(細菌の膜)と言った汚れが存在するからです。
このようなセルフケアでは取り除く事が困難な汚れは歯医者で実施するプロフェッショナルケアが有効です。徹底したセルフケアを行いながら、定期的なプロのケアを受診する事でむし歯や歯周病予防に効果的です。
予防のために当院が実施している処置をご説明いたします。

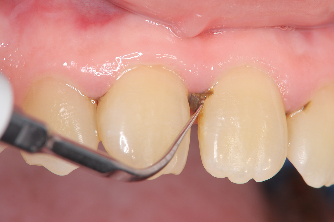
むし歯や歯周病になっている箇所が
ないか確認を行います。

歯ブラシだけでなく、
患者様に合った清掃用具の説明等も
詳しくいたします。

症状に応じて歯石をとったり
ヤニを取ったりしてます。

歯面にこびりついた着色汚れや
プラークを除去します。
PMTCとは、Professional(歯科衛生などのプロ)が Mechanical(専門の器具)を使用して行なうTooth(歯)のCleaning(清掃)の略です。
専用の器具を使用してセルフケアでは取り除く事が不可能なバイオフィルムの除去をはじめ、歯垢(しこう)や茶渋などの着色汚れ、さらにブラッシングではケアのしにくい細部まで徹底した清掃を実施します。ドリルなどの歯を削る器具などは一切使用しないため痛みを伴う事はありません。
歯垢が石灰化(せっかいか)して歯石(しせき)になると毎日の歯磨きでは落とす事が不可能になります。その歯石の除去を中心に行なう処置を「スケーリング」といい、専用器具のスケーラーを使って歯科衛生士が実施します。
当院では、役割に応じて2つのスケーラーを使用する事でより効果の高い処置を可能にしております。2つの器具の特徴や役割などをご説明致します。

最初に使用するのが超音波スケーラーと呼ばれる器具になります。超音波の微細振動を利用し歯面の歯石を剥離していきます。頑固な歯石も簡単に除去が可能なため短時間でお口全体の汚れを除去する事に優れています。

超音波スケーラーは、短時間で広範囲の除去が可能ですが細かい部分の除去には不向きのため手動のハンドスケーラーを使用し、取り残した細部の歯石除去を行っていきます。時間はかかりますが丁寧な処置が可能なため2つを使い分ける事で徹底した歯石の除去が可能です。

着色とは、珈琲屋紅茶によるステインやタバコのヤニをさします。これらは歯の表面にある無数の細かいキズに入り込んでしまうと、歯ブラシでは取れないため、専用の機械でないとキレイに落とすことはできません。その機械が「歯面洗浄機」です。
治療費(税込):片顎¥1,815 上下顎¥3,575

歯面洗浄機は着色をキレイに落とせる機械ですが、歯面のキズがあれば、また着色してきてしまいます。そのキズさえなくせば着色しにくくなり、キレイな歯面を保つことができます。このキズをなくすことができるケアがトリートメントケアです。
このケアは、着色予防だけではなく、むし歯の主な原因菌であるミュータンス菌がキズの溝に入り込むのを防ぐので、有効な予防法でもあります。
治療費(税込):¥3,575

より予防の効果を上がるために、患者様に正しいブラッシングのレクチャーやアドバイスを行いご自宅でのセルフケアの向上に努めています。
セルフケアの向上には、自身のお口に合った歯ブラシの使用やデンタル用品などの活用、さらには生活習慣などの改善も重要になってきますので適切なアドバイスをさせて頂きます。

乳歯はむし歯になると永久歯の3倍もむし歯の進行が早いと言われています。進行が早いと神経までむし歯に侵され、神経の治療が必要になり、通院回数が増えてしまうことがあります。最悪の場合は抜歯になるケースもあります。これらは決して乳歯だけではなく後継永久歯にも影響が及ぶことがあります。
歯は常日頃、脱灰(だっかい・歯が溶ける)と再石灰化(元に戻る)を繰り返しています。再石灰化がきちんとされないとむし歯になります。フッ素塗布をすることで、再石灰化が促されむし歯予防になります。
フッ素は4ヶ月に1度、定期的に行うことで効果がまして持続します。4ヶ月に1度を守ることで、結果、歯質強化に繋がるのです。
フッ素は乳歯が生えそろう時期から始めるのが好ましいです。小さい頃から定期的に歯医者へ通うことで、口のなかへの意識が自然と高まり、将来、大人になってもむし歯のない口のなかの状態を保つことができます。

日々の生活の中で「お口の中が渇きやすい」「食事中によくむせる」「滑舌(かつぜつ)が悪くなった」などの症状に思い当たる節がある場合は、口腔機能低下症が疑われます。
当院では、50歳以上の方を対象に口腔機能の検査を行っており、必要に応じた指導や管理等を実施し、口腔機能低下症の予防・改善に努めています。
口腔機能低下症とは、「感覚」「咀嚼(そしゃく)」「嚥下(えんげ)」「唾液分泌」等の口腔機能が少しずつ低下してくる症状です。
口腔機能が低下すると、食事や会話が思うようにできなくなります。
さらに口腔機能低下症を放置すると、口腔機能だけでなく、身体全体の機能も少しずつ衰え、健康面にも支障をきたす可能性があるため、注意が必要です。
口腔機能低下症を引き起こす一番の原因は「加齢」です。
歳を重ねるにつれて、噛む力や唾液の分泌量が減少するため、それに伴い、「感覚」・「咀嚼」・「嚥下」といった口腔内全体の機能が低下してしまいます。
また、加齢以外にもむし歯や歯周病で早期に歯を失った方や合わない入れ歯を使用している方、全身疾患を患っている方などは口腔機能低下症を引き起こすリスクが高くなります。
当院では、口腔機能低下症の予防・悪化防止に努め、50歳以上の方を対象に下記の検査を実施しております。※50歳以下の方でも気になる症状がある場合はお気軽にご相談ください。下記検査7項目のうち3項目以上該当する場合は口腔機能低下症と診断し、保険適用によって訓練を行います。
超高齢社会に突入した日本では、口腔機能低下症が注目され、テレビや新聞などのメディアでも話題となっています。
口腔機能低下症は本人も気づかないうちに進行し、重症化すると、お口だけでなく、身体全体の機能低下を招きます。早期に対応することによって、重症化の防止、機能の向上が可能となりますので、思い当たる方は口腔機能低下症の検査を受け、必要に応じた治療・訓練を受けましょう。






新津田沼歯科クリニック奏の杜では、このような取り組みを行い患者様の健康な歯を維持して頂くために努めております。これからの歯科は治療ではなく予防を中心に取り組む事が重要です。
津田沼・新津田沼にお住まいで、予防歯科に力を入れている歯医者をお探しの方は、ぜひ当院までお気軽にご相談ください。JR津田沼駅・新津田沼駅から徒歩圏内で通いやすく、習志野市奏の杜エリアの方も安心してご来院いただけます。