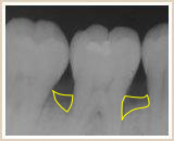
歯ぐきから血が出ていないから大丈夫と思われているかもしれませんが、歯周病は血が出ていなくても進行しています。歯周病はサイレントキラーと呼ばれるほど自覚症状がなく進行してく病気です。
日本では歯科検診を受けた割合は58%(令和4年の厚生労働省の実態調査より)と、過去と比較をすると歯科検診を受けた方が増えていますが、まだまだ歯科検診を受けていない方も多くいらっしゃいます。
その背景にも関連し、知らず知らずのうちに歯周病が進行し、日本の成人では約80%が歯周病にかかっていると言われています。


歯周病のこと~日本人の80%は歯周病です~



















