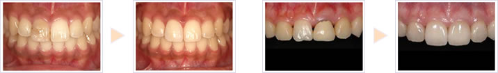
「最近、歯が黄色くなってきた気がする」
「コーヒーや紅茶の着色が気になる」
「結婚式や大切なイベント前に歯を白くしたい」
津田沼周辺でこのように “歯を白くしたい” と考えている方へ、新津田沼歯科クリニック奏の杜では、患者さまのライフスタイルに合わせたホワイトニング治療をご提供しています。
歯を白くしたい方へ~津田沼でホワイトニングをお探しの方へ~

「最近、歯が黄色くなってきた気がする」
「コーヒーや紅茶の着色が気になる」
「結婚式や大切なイベント前に歯を白くしたい」
津田沼周辺でこのように “歯を白くしたい” と考えている方へ、新津田沼歯科クリニック奏の杜では、患者さまのライフスタイルに合わせたホワイトニング治療をご提供しています。
新津田沼歯科クリニック奏の杜では、ホワイトニングを皆さまに行っていただき、より美しい笑顔を手に入れていただきたいという思いから、ホワイトニングをもっと気軽にお試しいただける内容でご提供しています。これを機会にぜひ、ホワイトニングをお試しください。

ホワイトニングには自宅でご自身で行うホームホワイトニングと歯科医院で行うオフィスホワイトニングがあります。オフィスホワイトニングは1回~3回(個人差あり)で効果があり、短期間で白くなることから女性やビジネスマンの方々、結婚前のブライダルホワイトニングに大変人気です。
そのオフィスホワイトニングを1回9,900円(税込・上下12本)でご提供させていただきます。上下12本ですから、お口を開いて見える歯ほぼすべてをこの価格で白くすることができます。ホワイトニングをお安い価格で始められますので、この機会にぜひお試しください。

安かろう悪かろうではありません。ホワイトニング価格はお安いですが、内容も充実。国家資格を有し、ホワイトニングを多数行なってきた実績のあるプロがしっかりていねいにホワイトニングを行います。
また、事前にカウンセリングもしっかり行い、どの程度白くなるのか?どれくらいの回数行えば希望の白さになるのか?などなどご質問にお答えいたしますのでどうぞ安心してご相談ください。

品質もご安心ください。負担が少ないホワイトニング剤であるブーストホワイトニングをご提供します。ブーストホワイトは、歯みがき剤の美白有効成分(「歯を白くする」「タバコのヤニ除去」「歯石の沈着を防ぐ」効果・効能)を歯科医院でのホワイトニング用に新たに配合した歯を傷めない、しみにくい、術後の白さをキープすることのできる新しいホワイトニング法です。
新津田沼歯科クリニック奏の杜では、ホワイトニングを皆さまに行っていただき、より美しい笑顔を手に入れていただきたいという思いから、ホワイトニングをもっと気軽にお試しいただける内容でご提供しています。これを機会にぜひ、ホワイトニングをお試しください。

歯科医院にて実施して頂くホワイトニング治療です。短い期間でホワイトニング効果を実感して頂ける方法で、個人差もありますがおよそ1~3度の施術でご満足頂ける歯の白さになります。
ホワイトニングの薬剤を歯面に塗布し、専用の光を照射する事で高い漂白効果を発揮します。短期間で歯の白さを感じる事が可能なためすぐに歯を白くした方におすすめの方法です。即効性はありますが白さの持続性は低いため長い期間白さを保つ事はできません。

ご自宅で専用のマウスピースを使って患者様自身が施術をして頂くホワイトニング方法です。
最初の数回は、マウスピースや治療前の診断などを行なうため、来院が必要になりますが、基本的には好きな時間、好きな場所でホワイトニングを自由に行って頂ける事が特長です。
自由度が高い事から、美容として生活に取り入れている方も多数いらっしゃいます。

より短時間で歯を白くしてさらに長い時間維持したいと言う方には、デュアルホワイトニングをおすすめしています。
クリニックで行うオフィスホワイトニングとホームホワイトニングを一緒に行って頂く方法です。どちらのメリットも感じる事ができる欲張りなホワイトニング方法です。結婚式やイベント前の短期間で高い効果を得たい方に好評です。

ご自宅で治療を実施するにあたり事前の準備をクリニックで行って頂きます。患者様の口内診断とカウンセリングを行います。治療費用や現在に歯の色を確認して頂きながら、ホワイトニング効果をあげるために歯面清掃をします。※診断の際にむし歯・歯周病があった場合にはそちらの治療を優先して行います。

患者様の歯型に合わせたマウスピースを製作するため、歯型を採取します。マウスピースが出来上がった後に、実際に装着して頂きフィット感を確かめて頂きながらご自宅で行なうホワイトニング治療の方法や注意点など丁寧にご説明致します。

作製したマウスピースに歯の漂白ジェルをセットし装着します。全体にジェルがいき渡っている事を確認した後、およそ2時間から8時間を目安に漂白を行い時間が経ちましたら、マウスピースを外して漂白ジェルを流します。この方法でまずは2週間治療を行って頂きます。

当院では、このように様々なライフスタイルの患者様に的確な治療やアドバイスをご提案しております。
習志野市奏の杜で自分にあったホワイトイング治療をお探しの方はぜひ新津田沼歯科クリニック奏の杜までお気軽にお越し下さい。

実際にどのくらい白くなるのかなどカウンセリングを行なっておりますのでご興味のある方はぜひ一度ご予約をおとりになってご来院ください。
また、新津田沼歯科クリニック奏の杜の運営するホワイトニング専門サイトもございますので合わせてご覧ください。

このような原因で「歯が黄色い」と感じる方は少なくありません。
当院では、低刺激でしみにくいホワイトニング剤を使用しているため、初めての方や敏感な方も安心して受けていただけます。


歯の白さは第一印象を大きく左右します。
「歯が黄色いのが気になる」「歯を白くして自信を持ちたい」と感じている方は、ぜひ一度ご相談ください。
習志野市奏の杜にある新津田沼歯科クリニック奏の杜では、症状・目的・ライフスタイルに合わせたホワイトニングをご提案しています。

これまでの歯科治療で多用されて銀歯は、金属のためお口の中でも目立ちアレルギーなどの懸念も常に心配される素材です。
さらに、経年による劣化が激しく数年でむし歯が再発する事も珍しくありません。
また、再発したむし歯は銀歯の下で静かに進行をするため大抵の場合は気付いた時には大変な事になっており、抜歯のリスクも上がります。
当院ではこのような事を考慮し、患者様にはできるだけ金属を使用しないメタルフリー治療や修復をおすすめしています。
つめ物は、削った部分が少ない時に処置します。このつめ物には大きく分けて2種類あり、それぞれのメリット・デメリットで使い分けます。



現在変色している詰め物や前歯のすきっ歯、さらには小さな欠けなどにはダイレクトボンディングと言う処置をおすすめしています。ハイブリットレジンと言う樹脂を使用し直接歯に盛り付けて形を整えていく方法です。
削る範囲を最小限に抑える事ができ型採りなどがなくその日のうちに治療を終える事が可能です。歯の色調に非常に近いため高い審美性も得る事ができます。

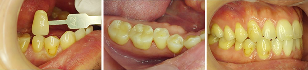
こちらの患者さまは、ホームページで当院を見つけられ、WEB予約から来院されました。
主訴(来院のきっかけ)は右下の奥歯が痛いということでした。
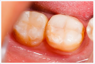
診察の結果、右下の第一大臼歯(奥歯の中で一番大きな歯)の噛む面に詰め物がされていましたが、その周囲(マージン)に新たなむし歯ができていることが確認されました。
今回のケースでは、むし歯を削って取り除き、その部分を新たに詰め物で補う治療が必要でした。当院では、次の2つの治療方法が選択肢として考えられました。
プラスチックのつめ物により1回の治療で完了でき、保険適用内で白く修復する治療が可能になります。ただし、時間が経つとすり減ったり、変色したりする可能性があります。
金属やセラミックのつめ物を専門の技工所で製作し、しっかりと歯にはめ込むタイプの治療です。強度が高く、長く使えるメリットがあります。ただし、通常は2回以上の通院が必要であり、素材によっては金属が目立つ、耐久性が低いものもあります。優れた素材としてはセラミックの審美治療があります。
今回は、患者さまから「1回で治療を終えたい」というご希望を考慮し、CR(コンポジットレジン修復)を選択しました。

むし歯の部分を削り取る際に「むし歯検知液」を使用しました。これは、むし歯が残らないように色で確認できる薬剤です。削る範囲が広かったため、歯の神経が出ていないか慎重に確認しながらの治療となります。
取り除いた部分に、歯に近い色の歯科用プラスティック素材(CR=コンポジットレジン)を詰めます。
しっかり固まるように特殊な光照射を行い硬化させます。咬み合わせを調整し、表面が滑らかになるように研磨をして仕上げます。

1回の治療で完了し、患者さまのご希望に沿う形で治療を終えることができました。
見た目も、以前そこにむし歯があったことが解らない仕上がりになっています。
CR(コンポジットレジン)は保険でできる便利で早い治療ですが、時間が経つと劣化することがあります。その劣化が二次う蝕(次の新たなむし歯)を生みやすくすることがあります。
歯は完全に生え変わるよう「完治」するのではなく、人工的な修復物により機能と審美の回復になります。よって、ここからの管理がとても大切になります。定期的なメンテナンスを受け、つめ物の状態をチェックやむし歯の原因と口腔内の細菌を減らす予防処置が大切です。
同時に、ご自宅での口腔ケアがカギになります。また、CRの場合は、どこかのタイミングで必要に応じて再治療や、より強度のあるインレー修復を検討することもあります。
当院では、患者さまのご希望や歯の状態に合わせた適切な治療を提供しています。歯の痛みや違和感がある時は、お早めにご相談ください。
かぶせ物は、歯をほとんど削ってしまった場合に処置します。かぶせ物には大きくわけて2種類あり、金属を使用するものとしないものにわかれます。



前歯の形を変えたいときなどに、つけ歯を作成し貼り付け、形態を変えることも可能です。これをラミネートベニアと呼びます。
ある程度歯を削ることが条件となりますが、被せ物ほど削らずに済みます。
矯正をせず、歯並びや歯の形を変えることができる処置として審美歯科の中で人気な処置となります。
新津田沼歯科クリニック奏の杜で実際に行なった前歯の差し歯のセラミック治療の症例を写真と解説つきでご紹介します(患者様に許可をいただいて掲載しております)。

以前、他の歯科医院にて上顎前歯3本を差し歯にしましたが、見た目が人工的すぎるとこのこと、当院にてやりかえたいとのことで、審美性の高いものを要求されました。
上記で記載しているメタルボンドセラミックなどもある程度きれいになりますが、透明感がなく、メタルを使用するので歯肉が黒ずむ可能性や透明感が出しにくいため、審美性の1番高いオールセラミックで同意することとなりました。

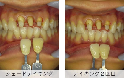
現在のかぶせものを外し、歯肉の治療をして歯肉の状態を整えてから、シェードテイキング(色合せ)を行います。
ここで重要なのが歯ぐきのラインを整えることです。歯にばかり目が行きがちですが、歯ぐきラインが美しく揃ってこそ、キレイなお口元となります。
隣在歯等に色調をあわせるため、シェードガイドをもちいて技工士さんに色を合わせてもらい、出来上がる被せ物を自然な色調、形態につくるこができます

お口の型を取ったあと、患者様には新しく作った仮歯をしてご帰宅いただき、当院では、型に元に模型作りを行います。この模型作りを精密に行うことで、セミラックの歯の適合精度が高まります。

数日後、セミラック製の歯が技工所より送られてきます。大変キレイに、かつ、自然な仕上がりです!

模型に装着し、適合を調べます。・・・完璧です!また、斜めから見た時のグラデーションも秀逸!

再度ご来院いただき、仮歯を外して実際に患者様のお口に装着します。どれがセミラック製の歯か見分けがつきません!また、噛み合わせの調整も行い、違和感なく噛めるとのこと。 患者様も大変驚かれて、「以前のセラミックの治療と全然違う!ほんとに自然で嬉しい!」と大変お喜びいただきました。この瞬間が私の1番嬉しい瞬間。。。!

全然違いますね!この写真は、治療後に実際に患者様にもご覧いただきます。「新津田沼歯科クリニック奏の杜に来てよかった!」とおっしゃっていただきました!歯科医師冥利に尽きます。 津田沼でキレイで噛み合わせの良いつめ物、かぶせもの治療ができる歯医者・歯科医院をお探しの方は、ぜひ当院までご相談下さい。
新津田沼歯科クリニック奏の杜で実際に行なった前歯の差し歯のセラミック治療の症例を写真と解説つきでご紹介します(患者様に許可をいただいて掲載しております)。

30代男性、前歯の変色が気になるということでご来院いただきました。幼少期に前歯を転んでぶつけてかけたとのことで、ご近所の歯医者さんで欠けた部分をCR(プラスティックの詰め物)で直してもらったが徐々に色が変色してきたとのことでした。
歯髄(歯の神経)が腐って色が変色したことが疑われたので、レントゲンを撮影しました。欠けた範囲が神経まで到達しており、電気を流して反応を診る電気歯髄診で歯髄(歯の神経)に反応がなかったため、神経が死んでいると判断し、根管治療(歯の根の治療)をしてクラウン補綴治療(被せ物)をすることになりました。

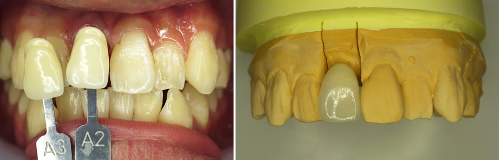
シェードガイド(歯の色見本)を使用しておおまかな色を確認し、歯科技工士さん(被せ物を専門に作る職人さん)に歯をつくってもらいました。

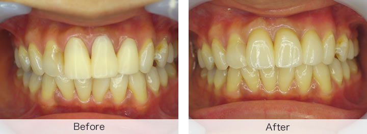
スタンダードメタルボンドセラミッククラウン(ハイクオリティプランもございますが、今回はスタンダードです。)装着前と後の比較写真です。
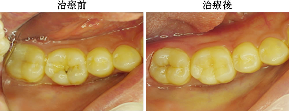
こちらの患者さまは、今回とは別の部位の被せ物が外れたことをきっかけに当院を受診されました。
検査、診断の結果、右下5の遠心隣接面(隣の奥歯との接する部分)にむし歯が確認され、さらに咬合面(噛む面)の歯質内部に黒色変化も認められました。
患者さんからは「長持ちする詰め物を入れたい」とのご希望がありました。
視診(目視による診察)ではむし歯の範囲はそれほど大きくは見えませんでしたが、舌側(内側)には以前に治療されたCR充填(プラスチック製の詰め物)が劣化しており、内部でむし歯とつながっている可能性がありました。
そのため、保険適用内で行う直接修復(歯に直接詰める方法)ではなく、型を取って詰め物を作る間接修復(インレー)を提案しました。
当院で扱うセラミック系の詰め物には、ハイブリッド(樹脂とセラミックの混合素材)、セラミック(ガラスセラミック)、ジルコニア(人工ダイヤモンドにも使われる高強度のセラミック)の3種類があります。
今回は「長く使いたい」「見た目も自然にしたい」というご要望から、透明感があり、審美性と耐久性のバランスが良いセラミックを選択しました。
ジルコニアは強度には優れますが、色調が不透明なため、天然歯と比べると目立つ場合がありました。実際の治療では、むし歯除去時に舌側の旧CR部分とむし歯がつながっていることが確認され、最終的には咬頭(歯の尖った部分)を覆うアンレー修復となりました。

お口の型を取ったあと、患者様には新しく作った仮歯をしてご帰宅いただき、当院では、型に元に模型作りを行います。この模型作りを精密に行うことで、セミラックの歯の適合精度が高まります。

う蝕検知液(むし歯を染めて見えやすくする薬剤)を使用して、むし歯を確実に取り除きました。舌側に及ぶ深いむし歯も丁寧に処置しました。

歯の形を整えた後に型取りを行い、審美歯科専門の技工所にてセラミックの詰め物を製作しました。

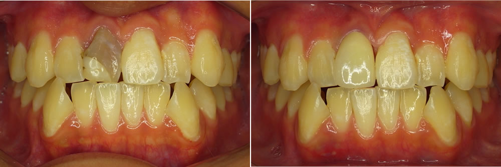
出来上がったセラミックアンレーを、専用の接着用セメントで装着。セラミックの特徴である自然な透明感により、周囲の歯とよくなじみ、見た目にも美しい仕上がりになりました。舌側の修復境界はわずかに見えますが、目立たない位置のため、患者さんにもご満足いただけました。
セラミックは見た目と強度に優れた素材ですが、極端に硬いものを噛むなどで破折(割れ)することがあります。定期的なメンテナンスにより、咬み合わせの確認やむし歯の再発防止を行っていくことが大切です。長く快適に使っていただくためにも、今後のケアを継続していくことになりました。
患者さんの歯の状態やご希望に合わせて、最適な治療を提案・提供しています。歯の痛みや不具合を感じた際は、お早めにご相談ください。
審美歯科において再発リスク軽減には、つめ物や被せものの精度が重要になってきます。精度を高めるためには細部にこだわった型採りが必要不可欠です。当院が行なう精度の高い型を採取するための工程をご紹介いたします。

被せ物の型を採取する際に、歯と歯茎の間に糸で圧力をかけ一時的に剥離する歯肉圧排と言う工程を挟みます。歯茎に覆われた歯の縁までをしっかり型取りする事で適合性の高い被せ物をつくる事ができ長期維持を可能にします。

当院では、より正確な型採りが可能なシリコン素材を使用し印象を行っています。
一般的な素材では、型崩れが激しく精度の高い型がとれない事や何度も型採りを行わなければいけない可能性が高く、患者様にも負担がかかり不安な気持ちにもにもなりますので当院では、信頼の高いシリコン印象を行っています。

新津田沼歯科クリニック奏の杜では、金属を極力使用しないメタルフリー治療をはじめ、見た目だけではなく長期使用も可能な機能性もしっかり考慮した補綴物治療に心がけています。
同じところを何度も治療している方や、銀歯を白い歯に変えたい方は、ぜひ習志野市奏の杜の当院までお気軽にご相談下さい。