新津田沼歯科クリニック奏の杜では、親知らずの抜歯をできるかぎり痛みを抑えて行なっております。
具体的には、親知らずを抜歯する際のスピードにこだわっています。抜歯に要する時間に比例して痛みが増えるため、できるだけスムーズに抜歯するために、術前のレントゲンによる診断に時間をかけ、抜歯シミュレーションを行うことで時間短縮を行っています。
津田沼駅・新津田沼駅から徒歩圏内、習志野市や船橋市からも通いやすい立地です。
親知らずのこと~痛みを抑えた親知らずの抜歯~
津田沼で親知らずの抜歯を検討中の方も、当院へお気軽にご相談ください。

新津田沼歯科クリニック奏の杜では、親知らずの抜歯をできるかぎり痛みを抑えて行なっております。
具体的には、親知らずを抜歯する際のスピードにこだわっています。抜歯に要する時間に比例して痛みが増えるため、できるだけスムーズに抜歯するために、術前のレントゲンによる診断に時間をかけ、抜歯シミュレーションを行うことで時間短縮を行っています。
津田沼駅・新津田沼駅から徒歩圏内、習志野市や船橋市からも通いやすい立地です。

正常に生えてこなかった親知らずは、様々な向きに生え場合によっては手前の歯に接触し徐々に押される事で噛みあわせや歯並びが変化していきます。最初のうちは気になりませんが将来的に歯並びが悪化し噛みあわせも悪くなるため、抜くことをおすすめしています。

親知らずと隣り合う歯に隙間が生じた際に、汚れが溜まり菌が繁殖する事で炎症を引き起こす事があります。炎症が悪化すると炎症範囲の拡大や患部の腫れに伴い痛みも強くなります。繰り返し炎症を起こす場合には抜く事をおすすめしています。

親知らずはブラッシングがしづらくむし歯や歯周病の羅患率が高い歯です。親知らずがむし歯や歯周病になった場合には、口内の健康な歯に悪影響を及ぼす前に抜くことをおすすめしています。

妊娠中はホルモンバランスの乱れから親知らずが痛みだす傾向があります。ですが、一般的なレントゲンやお薬の投与ができないため大変な思いをする事が予想されます。よって新津田沼歯科クリニック奏の杜では、妊娠前の女性に妊娠中のリスクを考慮した上計画的な抜歯をおすすめしています。
※歯と歯ぐきの間に食べ物がはさまりやすく、津田沼周辺の方でもよくご相談いただく症状です。
基本的には初診時には診断のみを行い、次回オペの準備が整ってからの抜歯を行なっています。
初診の時に腫れがひどく、痛みをガマンできない場合には痛み止めと腫れを抑えるお薬を処方いたしますので、腫れがおさまってから抜歯を行います。また、難症例については大学病院をご紹介いたします。
※治療の流れはお口の状況などにより変更になることがあります。





抜歯した後に一番多いトラブルは歯槽病(ドライソケット)と呼ばれるものです。
抜歯後、だんだん症状が軽くなっていたのに、何日かして抜いた場所がズキズキ痛みだすことがあります。通常抜歯した穴には血餅と呼ばれる血の塊で満たされ、それが肉になり穴がふさがっていくのですが、その血の塊がごっそり取れてしまい、骨がむき出しになり痛みが出る。それが歯槽病(ドライソケット)です。
特に下の親知らずを抜いた場合、下あごの骨が硬いこともあって、その発生頻度は5~10人に1人の確率といわれています。抜歯後のトラブルのなかでは最も予測が困難でこうなってしまった場合は傷口に軟膏のガーゼなどを詰め、ふたをし、抗生物質、消炎鎮痛剤などを投与し、キズの治りを待ちます。軟膏ガーゼを詰めることにより、痛みは大幅に軽減します。
また、下の親知らずを抜いた場合親知らずの根が下あごの神経(下歯槽神経)に近いため、術後に抜いた側の口唇の感覚が鈍くなることがまれにあります。しかし通常は時間と共に軽減していき感覚は元に戻ります。

新津田沼歯科クリニック奏の杜では、親知らずだから抜歯と言う事ではなく、移植などの将来的な有効活用も考慮し適切な診断を心がけております。さらに、抜歯に関しましても事前のレントゲン撮影などの情報からシュミレーションを行い可能なかぎり負担の少ないスムーズな抜歯を実施しておりますのでご安心下さい。
習志野市津田沼で負担の少ない親知らずの抜歯や歯牙移植をご希望の方は、ぜひ当院までお気軽にご相談下さい。

抜歯や歯周病などの悪化など何かしらの理由で歯を失った場合に、一般的な治療法としてインプラントや入れ歯(義歯)、さらにブリッジなどの方法で歯の機能修復を行う事ができます。
それに加え親知らずが健康な場合には、歯牙移植を行い噛みあわせを得る事が可能です。この方法には親知らずのサイズや根の形などいくつかの条件がありますが、人工物ではない自身の歯のため馴染みがよく歯根膜などのクッションの役割をする周辺組織も移植が可能ですので元の歯と同様に違和感なく噛むことがができます。
当院では、親知らずの移植など積極的に実施していますので、親知らずの有効な活用法などご検討中の方は、ぜひお気軽にご相談下さい。
実際に親知らずの移植を新津田沼歯科クリニック奏の杜で行ったときの事例を写真つきで解説しますのでご覧ください。
主訴:左上の銀歯脱離
口腔内所見:縁下カリエスと頬側の歯牙破折をきたしており保存不可と診断

抜歯で同意しその後の治療においては、①ブリッジ②入れ歯③インプラント④移植⑤その他(放置など)それぞれのメリット、デメリットをお話し理解していただきました。
今回のケースでは親知らずが残存しており、移植を保険内で行うことができます。また移植が成功すれば、自分の歯として違和感なく使えるという大きなメリットがあるため移植を選択されました。
残せない歯を抜歯、さらに親知らずを抜歯し保存します。すぐに抜歯した親知らずを残せない歯を抜歯した部分に移植します

一週間後に抜糸し移植歯がある程度固定され歯肉が治癒してきたら、根管治療をします。その後、4か月ほど移植歯が骨とくっつき安定するまで待ち仮歯を入れ様子をみます。

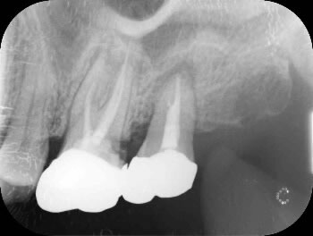
移植した歯が安定したので、被せ物を装着し、治療完了となります。


治療後のレントゲン写真にて、移植歯の周りに骨ができており、移植が問題なく成功していることがわかります。
その後は定期健診をしてメインテナンスをしていきます。


このように、不要な親知らずを抜歯して移植するという選択肢があります。
インプラントや入れ歯がイヤでインプラントや入れ歯に変わって安価で済むのでオススメしたい治療法です。
歯が抜けた、インプラントや入れ歯をしたいが、治療費が気になるという方は、ぜひ新津田沼歯科クリニック奏の杜で親知らずの移植治療をご相談をください。