津田沼駅・新津田沼駅から通いやすい場所にある当院では、習志野市や船橋市からも多くの患者様にご来院いただいております。
「津田沼 インプラント」と検索して治療方法を調べている方や、これから歯医者を探している方に向けて、安心して治療を受けられる環境を整えています。
インプラントのこと~CT撮影による安全なインプラント診断~

津田沼駅・新津田沼駅から通いやすい場所にある当院では、習志野市や船橋市からも多くの患者様にご来院いただいております。
「津田沼 インプラント」と検索して治療方法を調べている方や、これから歯医者を探している方に向けて、安心して治療を受けられる環境を整えています。

インプラント(治療)とは、厳密には人の身体に埋め込む人工物のことを言います。歯科診療に用いられるインプラントは、「デンタルインプラント」と言いますが、近年は歯科におけるインプラント治療が一般的になっています。
歯を失った箇所に人工の歯根(インプラント)を埋入し、歯を補う治療法です。従来は、歯を失った治療法としてブリッジや入れ歯が一般的でしたが、近年はインプラント治療を希望される患者様が増えています。
津田沼周辺で「インプラントとは?」と調べている方からも多くご相談いただきます。入れ歯やブリッジと比べて「自然な噛み心地が得られる」「見た目が美しい」ことから、インプラントは人気の治療法となっています。

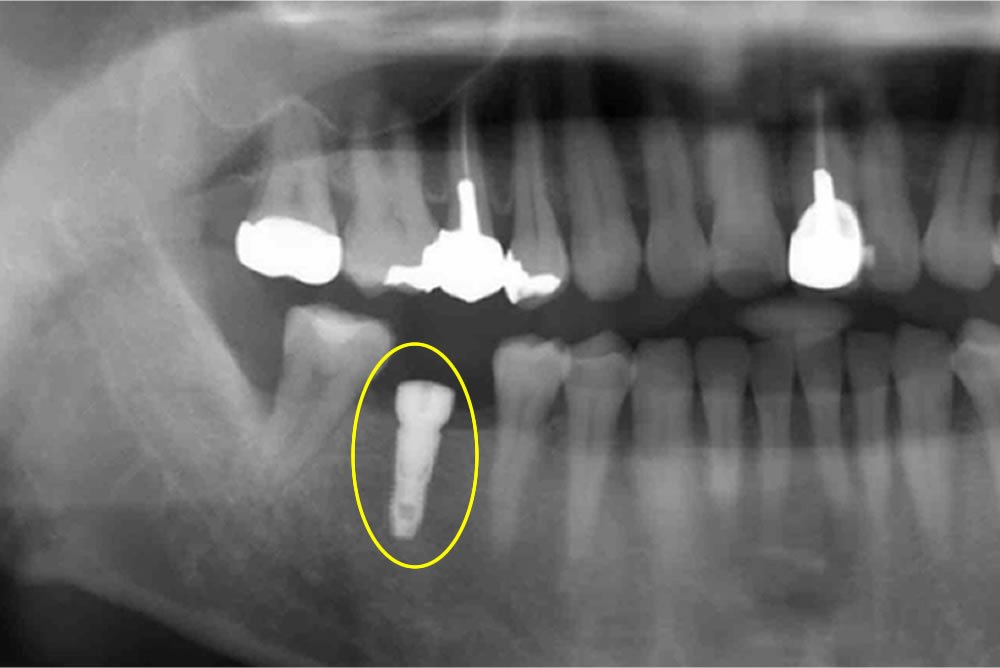
インプラント治療でもっとも大事なポイントは、術前の【診査・診断】です。インプラント治療を行う前に骨の状況はどうか、神経との距離はどのくらいかなどの情報をいかに正確に判断できるかがオペの成功を大きく左右します。
その診査診断に大きく役立つのが歯科用CTです。レントゲンではわからない3次元のスライス画像を元に神経や骨との関係を細かく確認できるようになりました。安全にインプラントを行う為には必要不可欠です。
インプラント治療を新津田沼歯科クリニック奏の杜で行う場合は明らかに難易度の低いインプラントを行う場合をのぞいて、CT撮影を行うようにしています。絶対あってはならないインプラント事故を防止するために。
特に津田沼エリアでインプラント治療を検討されている方からは、「他院で断られたが治療できるか知りたい」というご相談も増えています。当院ではCTを活用した正確な診断により、骨造成やサイナスリフトなどの高度治療にも対応可能です。

インプラント治療では、人工歯根(じんこうしこん)を顎の骨に埋め込むため十分な骨が必要になってきますが、歯を失ってからの期間が長いと徐々に骨が吸収されなくなってしまいます。当院では十分な骨がない患者様にもインプラント治療を受けていただけるよう、骨造成などの方法で骨の再生を促し治療を可能にしています。当院が行なう骨の再生法をご紹介致します。
上顎のインプラント治療を行なう際に、骨の厚みが足りない場合にソケットリフト法で骨の造成を行います。厚みが5㎜以上ある場合にインプラントを埋入する穴から人工の骨補填材で上顎洞を押し上げて十分な骨の厚みを形成します。
上顎の骨がほとんどない場合にはサイナスリフト法で骨を造成し埋入できるようにします。骨の厚みが5㎜以下の場合には歯肉を切開し、上顎洞を押し上げた後に人工骨で骨の形成を行なう方法で、ソケットルフトに比べて負担が大きい方法となります。
インプラント埋入の骨が足りない部分に粉砕した骨補填材(こつほてんざい)などの骨の素をいれ、特殊な膜で保護する事で骨を形成していく方法です。個人差もありますが、約4~6ヶ月程で歯槽骨が再生します。

新津田沼歯科クリニック奏の杜では、インプラント無料相談を行っています。
患者様とドクターの信頼関係がとても大切な診療となりますので、一度無料カウンセリングにお越しいただくことをおすすめしています。
インプラント治療に伴うメリットやデメリット・リスク等もしっかりお伝えします。
カウンセリングの際には、インプラント治療のメリットだけでなく、想定されるリスクやデメリットも全てお伝えしています。外科治療となりますので、しっかりご理解いただき、同意を頂いた上で治療をはじめさせていただきます。
※インプラント治療のリスクの一例として、下記が挙げられます。
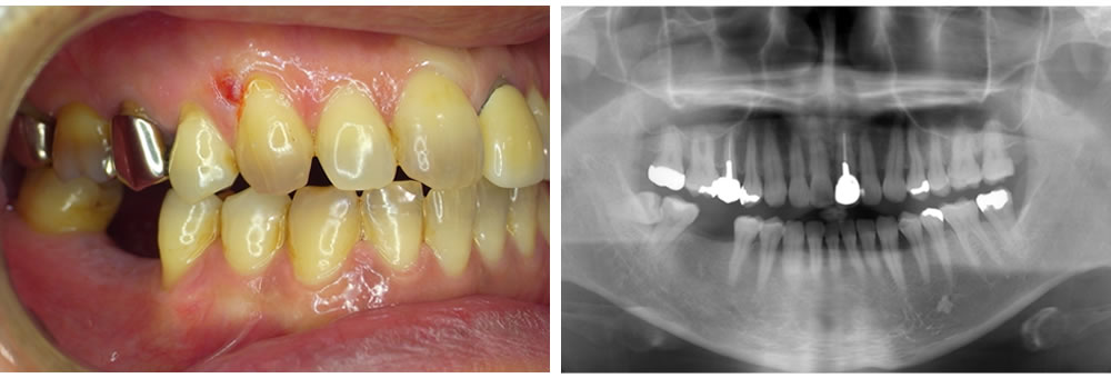
新津田沼歯科クリニック奏の杜で実際に行ったインプラント治療の症例をご紹介致します。

こちらの患者さまは、虫歯が原因で抜いた右下の歯が噛みづらくなったとのことでご来院されました。
歯を欠損した際に咬み合わせを回復するための治療方法は、大きく分けて以下の3つがあります。
今回は、患者様から『歯をあまり削りたくない。噛みごたえが欲しい。』というご要望がありましたので、それぞれの治療法についてしっかりと説明をした後、インプラント治療をすることになりました。
当院では、“リスクを最小限に抑えたインプラント治療”のために、事前に歯科用C Tを用いた画像診断・シミュレーションを必ず行なっております。


インプラントと顎骨が結合するまで待機した後、歯型を採取して最終的な上部構造(人工歯)を作製します。そして完成した上部構造をお口に装着して治療完了です。インプラント治療前後の写真はこちらです。

津田沼でインプラントをご検討の患者様から最も多いご質問は「費用はいくらかかるのか?」という点です。
当院では治療計画ごとにお見積りを作成し、分かりやすい料金説明を徹底しています。また、インプラント治療は医療費控除の対象となるため、確定申告で税金の一部が還付される場合があります。

新津田沼歯科クリニック奏の杜では、より安全なインプラント治療がご提供できるようにCTなどの精密機器を使用ししっかりとした診断とシュミレーションを行っております。
インプラント治療に関するセカンドオピニオンや無料相談なども随時実施しておりますのでお気軽にご利用下さい。
習志野市奏の杜で安心で快適なインプラント治療をご希望の方は、ぜひ当院までご相談下さい。